Back to page

Caidens Fight Against a Terminal Brain Stem Tumour

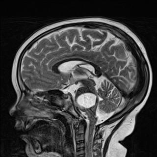
  • MRI results from yesterday

      19 April 2024
    Main image

    Firstly we would just like to say a huge thank you for all your love, kindness and support. It really does take a village when you are going through such tragic circumstances, to help get through each and every day. Words can never describe how grateful we are to have crossed paths with you all in one way or another.

    We have had some fantastic news from Caidens MRI scan yesterday. His tumour is responding to the radiotherapy treatment. We have had some shrinkage since his last scan 6 weeks ago!! This is such a relief to know that our decision to put him through another round of radiation, after finding out his tumour had doubled in size was the right decision to make. It's so scary as a parent having to make such huge life threatening decisions, in hope that it gives our son more quality time here with us.

    We are still waiting for a cure.... radiation will only help for so long :( We just hope with every part of our being that a miracle cure happens in time for our son to receive it.

    Meanwhile we are busy making precious memories, and planning our big trip to Australia, where Caiden can see all the birds and wildlife that he loves the most 🥰

      0 comments  |  Login to leave a comment
  • Australia trip for Caiden

      30 March 2024
    Main image

    Hi guys

    Just a quick update to let you all know that we are also fundraising to help Caidens wish come true on another give a little page. The new fundraiser is to help get him to Australia, for a once in a lifetime trip to visit all the birds and animals that he loves the most. We created the new page to keep the funds separate.

    Thank you for all your love and support ❤️

      0 comments  |  Login to leave a comment
  • Positive MRI update today

      5 March 2024
    Main image

    Positive results from Caidens MRI today.

    It's been 2 weeks today since Caidens radiation treatment ended... and we have no growth!! We can clearly see the radiation is doing its job killing off the cancer cells of the tumour in todays images, as the tumour diffusion is not as dense now as it was back in January.

    Oncologist expected the tumour to look worse today as it has only been 2 weeks since treatment ended, and the targeted area will still be inflamed from treatment... but it looked better than she expected so early on which is such a relief. Generally they don't like to scan until at least 6 weeks post radiation.

    Between his MRI in December and his last MRI in January the tumour almost doubled in size :( ... but today after completing radiation it has not grown since the last scan! :)

    She said she didn't need to see the scan to see that he's responding to radiation as he's thriving and looking great. She is very happy with his radiation response so far 🥰

    We hope that this honeymoon period for Caiden lasts a long time, and that radiation continues to kill those cancer cells 🙏

      1 comment  |  Login to leave a comment
    • 07/03/2024 by Kristen

      Yay for no further growth and goodbye to those naughty cancer cells. I hope these days are long and well spent as a family. I love to see Caiden with his birds ❤️

  • Caiden has completed his second round of radiation!

      21 February 2024
    Main image

    Firstly we would like to thank each and every one of you for your continued love, prayers and support. We feel so grateful to have each and every one of you behind us, cheering our boy on from near and far.

    Caiden completed his second round of radiation yesterday. He did 17 days of brain radiation under a general anesthetic, and handled it like a true champion. This little 6 year old boy skipped into the treatment room every single day with a smile. He knows that we are trying to shrink his naughty lump, and he wants to show this cancer who is boss! We hope a cure is found in time to save our son, as radiation is only a temporary treatment that may or may not help prolong his life. A person can only receive a limited amount of radiation treatments in their lifetime, so more treatment options need to be found to help these poor children.

    Caiden is doing amazing at the moment. The oncologist is very pleased that we made the decision to reradiate as he has improved so much since his treatment began.

    LONG MAY THE GOOD DAYS FULL OF QUALITY LAST!!

    We ask that you all keep talking about Dipg to spread awareness, keep donating to foundations for more research. Because unless more funding gets applied into research for this deadly cancer, kids will continue to die.

      1 comment  |  Login to leave a comment
    • 04/03/2024 by Kristen

      I love to see Caiden and his birds, he has such a beautiful soul. Has the doctor(s) suggested boswellia also known as frankincense? I know every child is different and can't take the same things. But I figured it was worth a shot to mention it. Keeping the whole family in my prayers 🤗

  • Caidens second round of radiation

      5 February 2024
    Main image

    Caiden has completed 7 days out of 17 days of his second round of radiation. This 6 year old boy goes in every day with a smile on his face, skipping and walking with a bounce in his stride. He skips into the treatment room smiling, joking and giggling with the nurses. He knows that he will be put to sleep, have his head bolted down to a table with his mask on every time he goes into that room.. but he never complains. The nurses are so lovely, kind and caring. He gets to choose a bead of courage every day, and put a bird sticker onto his aviary sticker board they kindly made for him to help count down the days of treatment. They are so good with the children it's so beautiful in a life full of heaviness.

    As you walk through the cancer treatment centre that is mixed with adults and children, you can see the sadness in the adults eyes as you walk past them. Its hard for them to see an innocent child has to go through things that most people will never have to go through in a lifetime, and they know better than anyone what it's like to have radiation.

    Our days are filled with doing all the things that the kids love, making precious memories that we can cherish for eternity. We live and breathe for our children.

    We are so thankful to each and every one of you for walking through this nightmare with us and lighting the way so that we can see through all the darkness. You definitely make our lives brighter.

      0 comments  |  Login to leave a comment
  • Sad News

      18 January 2024
    Main image

    Sadly Caidens recent MRI on the 4th of January confirmed that his brain stem tumour is progressing. The tumour had grown alot in just 4 short weeks. We had been told by our oncologist that his MRI on the 7th of December looked concerning in areas, but because Caiden was still doing amazing we had hoped that they were wrong. But 3 weeks after that MRI we noticed Caidens symptoms started to increase. We are devastated.

    We have had to make some huge decisions with regards to what we do from here to try and help our son. He is declining each day, and it's crucial to start radiation therapy before symptoms progress too much. Our other option is to do nothing and keep him as comfortable as possible, spending time together as a family until his little body decides it can't continue on any more. How does this even happen to children!? Our son is only 6 years old!

    We have decided to do a second round of radiation treatment for Caiden. We know that Caiden would want to be here alongside us as long as he possibly could. He hates being away from us, he's never wanted to be anywhere that we aren't.

    Radiation has very risky side effects. Because of the location of the brain tumour and the fact that this is his second round of radiation the risks are even higher. Caidens tumour responded well to radiation a year ago, so we hope with every part of our mind, body and soul that his tumour responds well this time.

    Please pray for our beautiful boy.

      0 comments  |  Login to leave a comment
  • Merry Christmas From our Family to Yours

      30 December 2023
    Main image

    We hope that you have all had a memorable safe and happy Christmas with your loved ones.

    We feel very lucky to have been blessed with another Christmas with our beautiful boy Caiden.

    Caidens last MRI sadly showed some concerning results to the drs. He is scheduled to have a full brain and spine MRI on January the 10th. He has been having a few off days, but never complains. He never wants to worry us, and his worst fear is ending up back in hospital.

    Please continue to pray for our beautiful boy.

    We ask the universe every single day to save our son. He deserves to grow up and live a lifetime full of love and happiness.

    We love and appreciate you all x

    Happy new year from our family to yours 🎉

    Soak in every moment with your loved ones. Enjoy one another, don't sweat the small stuff, love like there is no tomorrow. Life is a privilege that is sadly denied to many xx

      0 comments  |  Login to leave a comment
  • Heartbreaking MRI Results

      8 December 2023
    Main image

    Caiden had an MRI on Wednesday. He has been doing so amazing the last few months. Unfortunately the results of the MRI were not what we had hoped for. Based on how great he is doing we had expected to see a stable tumour or some shrinkage. Sadly all the medical team are concerned about some changes to his brain stem tumour. There is a new diffuse area that is starting to take over the cystic component of his tumour which is a cause for concern. When tumour progression begins that normally means a very rapid decline. Oncologist advises it's best to start another round of radiation before symptoms start to appear, but we are very hesitant. He's doing so well right now, & we don't want the quality of life that he has now to deteriorate with the radiation side effects.

    Our Oncologist agrees with our decision to hold off on radiation until he starts to become symptomatic. We hope that this won't happen for a very long time, but if the symptoms do start to appear, we need to head into starship hospital immediately for another MRI.

    It's such a strange feeling being told bad news while Caiden is at his best. It almost doesn't feel real that things could start to take a turn for the worst at any moment.

    We are making the most of the good days. Every moment he is doing great is an absolute blessing 💛

    We are continuing to give Caiden all the natural medicines we have had him on for some time, & will add in some new ones too.

    Thank you for all your support during our heartbreak.

      0 comments  |  Login to leave a comment
  • Caiden has reached a 12 month Milestone

      15 November 2023
    Main image

    Caiden has reached a 12 month Milestone that is denied to many children fighting DIPG brain tumours. Yesterday marked 12 months since we found out that our beautiful boy has one of the deadliest brain cancers that mostly effects children aged between 4 and 11 years old. Prognosis is normally around 9 months for most children. Some sadly don't make it to the 9 month mark, and some children are lucky enough to continue fighting past 9 months. In such shitty circumstances we feel truly blessed to have our son here fighting. He's still here for us to cuddle, kiss, feel the warmth of his skin, create memories with, and watch him smile, laugh and sleep.

    Caiden managed to go a whole day without using his wheelchair the other day. His mobility continues to get better as each day passes by. We are hopeful that it is all the natural supplements that we are giving him that is helping his immune system fight the cancer.

    We thank each and every one of you for your continued love, support and prayers as we continue to battle through a living nightmare. All of your donations go towards the natural supplements he needs which is very costly, fulfilling his bucket list, and helping relieve the financial strain we are faced with now that both hubby and I aren't able to work. Quality time together is paramount to us, as tomorrow is never promised.

    Every morning he wakes up smiling and is still the same boy that he was the day before, is such a relief to us. Life is precious.

      0 comments  |  Login to leave a comment
  • MRI results

      11 October 2023
    Main image

    Hey guys

    Firstly we'd just like to say a huge thank you for your continued love, support and prayers over the last 11 months. You all add light into our lives at our darkest moments, so thank you.

    Caiden had his most recent MRI last week. They have labeled this MRI as inconclusive due to not wanting to label anything, and because they are not certain about what they can see on the scan. Caidens tumour has always looked different to other DIPG tumours, and because of his not being a typical looking tumour no one knows how his will react.

    He will have another MRI scan in 7 weeks time to decide if they are seeing tumour progression, or if it is cystic fluid leaking into the cerebellum of the brain, or if it is radiation necrosis. We pray with all we have that it's not tumour progression.

    Caiden has been very tired at times over the last couple of weeks, and his head has been feeling weird on and off. The cyst in the tumour is at its fullest at the moment, and that must be such an awful feeling for him and add extra pressure inside his brain.

    We wish we could take this all away for him.... we wish it was us instead of him. It's soul destroying watching your child battle a terminal diagnosis and feel so helpless when our job as parents is to protect our children.

    Throughout it all, Caiden still smiles... he still carries on and pushes through any obstacles that he is faced with, and continues to show cancer who is boss. He is forever our hero.

      1 comment  |  Login to leave a comment
    • 14/10/2023 by Sam

      Prayers and Blessings always

  • Such a trooper!

      8 September 2023
    Main image

    Caiden has been doing absolutely amazing! He has gained back so much strength, his cheeky mischievous personality is back, his speech is much clearer, and he is walking more than he is using his wheelchair at the moment. It is incredible to see such a huge improvement in him since we made the decision to take him off the chemotherapy trial medication, and start him on natural supplement therapy... we wish we had done this sooner! His quality of life is the best it has been in the last few weeks than it was for so many months after his diagnosis in November 2022.

    There is still no cure for this evil monster... and this scares us every single day. With DIPG anything can change in an instant... tomorrow isn't promised. We are hoping with all we have that Caiden is granted a miracle cure 🙏

    We continue to make precious memories together as a family, and enjoy every single moment with one another. Although money isn't important, it still helps ease the financial burden this has on our family since we have both given up our jobs to give Caiden the best care possible. Our family of 6 need each other more than we ever have right now ❤️ We still need to pay for every day living, pay for Caidens medicines, pay the bills, fufil Caidens bucket list... Sadly we cannot do these things without all of your help 😔 So thank you for all your love, kindness and support to date ❤️

      0 comments  |  Login to leave a comment
  • Caidens 6th Birthday Milestone

      21 August 2023
    Main image

    Hey everyone

    Firstly we would like to thank you all for your support, love, kindness and prayers for our beautiful boy Caiden. You are all such beautiful souls, and we can't ever thank you enough 💖

    Caiden had his 6th birthday on Friday 18th of August. We are so pleased that he has reached this birthday milestone given his diagnosis, and we hope and pray that he beats the odds and statistics, and has many more birthdays to come.

    Caiden is doing incredible since we have introduced natural remedies to help fight his brain cancer. He has gained back so much strength, his personality is shining through again, and he is looking so much happier off the trial medication.

    Quality of life is paramount to us for Caiden, and he is definitely getting that at the moment which makes us happy.

      0 comments  |  Login to leave a comment