Back to page

"Danielle's Fight for Life: Brain Tumor Treatment Fund"

  • Danielle Update – MRI Results & New Challenges

      23 February 2026
    Main image

    As our Givealittle closing date approaches tomorrow, we’ve decided to extend the page until 23rd April, as Danielle’s journey continues to bring new developments.

    Danielle had an urgent MRI last week. Unfortunately, the hospital couldn’t get a line in, so the scan was done without contrast.

    Her specialist, Richard, said it was harder to assess fully, but there appears to be increased swelling in the frontal lobe — the tumour causing the most concern atm. There is some encouraging news thou, the 4th ventricle tumour shrinking slightly.

    Danielle remains stable atm, with good days and difficult days. There may be some progression, but we continue to take each day as it comes.

    Her blood platelets dropped dramatically, so her Avastin treatment was paused and her Lumustine chemo dose reduced. Thankfully her levels have improved and treatment has resumed at a lower dose.

    Our landlord has given us notice, due to upcoming redevelopement in April, but we've requested more time due to Danielle’s condition and are awaiting a response. The added uncertainty is overwhelming.

    Danielle turns 40 on 17th March. Tyson has lovingly organised a birthday dinner so we all can celebrate this milestone. Atm she is not well enough, but we are hopeful if plans need to change, we still mark this special birthday in a meaningful way.

    Thank you for your continued love and support. Extending this page helps us manage ongoing treatment and potential relocation costs.

    With gratitude always🤍

      0 comments  |  Login to leave a comment
  • XMAS '25 UPDATE 🐾💕

      30 December 2025
    Main image

    Defying the odds again! 🙌 As of end of Nov, Danielle's specialist wasn't sure she'd make it to Christmas... but here we are 💪. And she's still fighting 💖.

    Since Nov, Danielle's made incredible progress:

    Talking again 🎤 - she's communicating more each day!

    More aware of her surroundings 🌟 - recognising things and responding

    Eating and drinking well 🍴 - no more struggles with fluids

    Using her right arm to hold drinks and eat 💪 - small wins are the best!

    She still needs 24/7 care, but every bit of progress is a win 🌈. We came close to losing her, but her strength, courage, and amazing support have pulled her through.

    Her Specialist says it's very encouraging 😊. We're looking forward to the next MRI in Feb to see what's next 💡.

    This journey's been tough, but we're grateful for every moment with Danielle 💕. Thanks to everyone who's supported us - your messages, prayers, and donations have made such a difference ❤️. Thank you from the bottom of our hearts!

    We're taking it one day at a time and celebrating every small victory!

    We have created "Danielles Fight for Life" Community group chat that you can now join so you can be involved in and kept upto date on hows she doing each day. Link below

    https://m.me/ch/AbZD_u3vfMkPi3U5/

    #DanielleStrong #FightingForMore"

      0 comments  |  Login to leave a comment
  • URGENT UPDATE 🆘

      25 November 2025
    Main image

    We're facing an extremely challenging time with Danielle's health, and we're urgently seeking your support in any way you can. Her condition has taken a drastic turn, and we're doing everything we can to fight for her.

    Dani had her long awaited MRI,which showed progression of her tumor,but the midline shift was only 3mm - surprisingly better than expected, considering her current condition, however her specialist said that if the current treatment and new chemo (Lomustine) dosen't work, she may not make it to Xmas.

    We're shattered beyond belief but we're determined to keep fighting for Dani.

    Despite the challenges, Dani is fighting hard to recover, and we're doing everything we can to support her 24/7.

    We've been working tirelessly to explore all other possible treatment options but our medical team hasn't been very supportive and we're finding it challenging to get the guidance we need.

    Richard switched her chemo from Temodal to Lomustine, as he believes this may be more effective in managing her tumor but we have not seen any improvement yet.

    We still need help to cover costs so If you're able to donate, we would be forever grateful.

    We're also aiming to raise $1800 to cover her last round of Avastin treatment.

    If you'd like to send a message or card to lift Danielle's spirits, we'd love to pass them on to her as we know she'd love to feel your love and support from afar 💕

    Please keep her in your prayers.

    We're desperate for a miracle, together, we can make a difference.

      0 comments  |  Login to leave a comment
  • Update: Danielle's Brave fight continues!

      5 November 2025
    Main image

    Danielle underwent an MRI today, a crucial step in understanding the current state of her battle against her Tumor. Tyson is by her side, every step of the way, providing the love and strength she so desperately needs.

    It's been 2 months since we first requested this urgent scan. Despite countless emails, texts, and conversations with the hospital and her specialist, we've faced delay after delay. But we're finally here, and we're so grateful for the medical team at MRI radiology for taking extra care of her.

    The reality is, Danielle's condition has deteriorated significantly over the past 2 months. She's now in need of 24/7 care to help with everyday life, and her fight is getting tougher each day. We're doing everything we can to support her, from diet, supplements and natural medicines to ensuring that her Temadol tablets are on time.

    Danielle's specialist Richard is pushing for the MRI results before her Avastin treatment this Friday so we can hopefully explore further treatment options. We're keeping our fingers crossed that we'll have a clearer path forward soon.

    If you're able to donate, every contribution will help with Danielle's medical expenses, care, and the costs associated with her ongoing treatment. Your kindness will go directly towards giving her the best possible chance at life.

    Please keep Danielle in your thoughts and prayers as she faces this massively challenging time of her life.

    She's our beautiful warrior that we love so dearly 💕

      0 comments  |  Login to leave a comment
  • STILL waiting for Urgent MRI

      20 October 2025
    Main image

    We're still waiting for Danielle's urgent MRI, which was initially scheduled for September 25th but was cancelled due to strike action. Unfortunately, the rescheduled MRI was missed due to a communication error, and we're still awaiting a new appointment.

    It's been 3.5 weeks since the cancelled MRI, and Danielle's health continues to decline. She's struggling every day, and it's heartbreaking to see her lose her independence. Tyson has been there for her 24/7 and we're anxiously waiting for the MRI and subsequent meeting with her specialist to know whats happening and determine the best course of action for her treatment.

    The upcoming strike on Thursday may further delay Danielle's treatment, and we're growing increasingly worried. I've reached out to TVNZ News to share Danielle's story and hope that it might bring attention to the impact of these delays.

    I'm currently up north and have just finished closing my workroom shop in Kaikohe and will be heading down to Auckland as soon as Danielle's MRI and meeting are scheduled. I'm desperate to be there for her but unfortunately have no one to care for my cat rescue here, If theres anytime we need a miracle, it is about now.

    Please remember "She may only be a small part of your world but you are 100% of hers.💕.

    Iv attached a photo of Danielle from a few years back in my sewing room that I have just found. A reminder of how beautiful she is, both inside and out.

    Thank you for your continued support and prayers 🙏.

      0 comments  |  Login to leave a comment
  • "Update from Us 🌟...

      11 September 2025
    Main image

    Danielle's been doing really well overall, but unfortunately, her health took a bit of a turn. When I was home with Danielle and Tyson last week, I noticed Danielle was extremely exhausted, was often feeling dizzy, unbalanced and had started walking with a limp on her left side. Her peripheral vision on her right side had also worsened.

    Danielle had another Evastin treatment while i was in Aucks @ Canopy on Friday just gone, and when discussing with her team, we realized she'd missed her Temadol-Cemo tabs for the past six weeks, somehow this got missed... We've since sorted the medication, and she's now restarted her treatment.

    Today, we had a conference call her specialist Dr. Richard Sullivan, and he's arranged for an urgent MRI to investigate her current symptoms. We're hoping for the best MRI report, that perhaps will show that it is scaring thats causing her symptoms rather than the tumor, and would love your healing vibes and positive thoughts 🙏.

    Thank you for your continued support, love and donations. Every bit counts, and we're so very grateful for your presence in Danielle's life "She may only be a small part of your world but you are 100% of hers.💕.

      1 comment  |  Login to leave a comment
    • 12/09/2025 by Jarron

      Thanks for the updates. Much love. 😊

  • Update & Date Extension: Danielle's Fight Continues

      25 August 2025
    Main image

    We're thrilled to share that Danielle's recent appointment with Specialist Richard Sullivan at Canopy Cancer Care went well! Richard thinks Danielle is doing super well, walking every day, and with minimal bouts of nausea. 🙌

    He did prescribe more midazolam to help Dani with her Stress/Anxiety, given also that Tysons dad had just passed away. We are also thinking of him and his family during this difficult time 🙏.

    Richard is planning for another MRI next month which we all will be excited to see.

    We're so thankful for the progress Dani is making. She received another Avastin treatment when at Canopy last week which went well, gauging from what Tyson suggests in the photo ofcourse, but perhaps not what Dani would suggest after recieving the needle! (Shes a very brave girl!)

    Your support means the world to Danielle and us all. We're extending the Givealittle page deadline to ensure we can cover her ongoing treatment costs. We've raised around $9,500 so far towards our goal of $35,000,

    but with treatments costing around $2,000 every 3 weeks, we're looking at ongoing expenses that will likely continue until at least Christmas this year.

    Every donation brings us closer to help Danielle keep receiving the treatment she needs. 💕

    She may only be a small part of your world but you are 100% of hers.

    Thank you so much for your continued support and kindness.🙏

      0 comments  |  Login to leave a comment
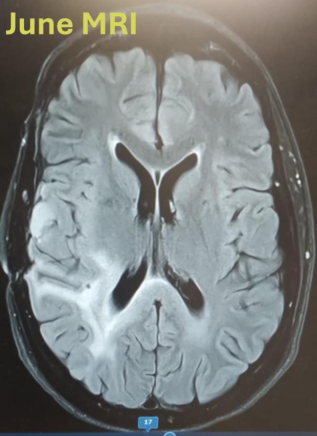
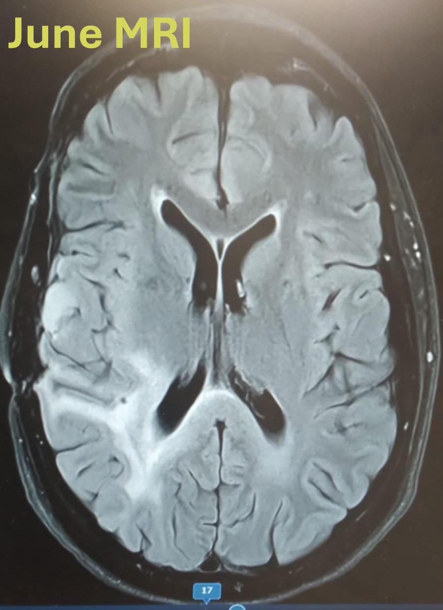
  • "URGENT: MRI scans show a powerful story 💕

      3 August 2025
    Main image

    We've seen incredible progress in Danielle's journey, thanks to your generosity! 🙏

    The latest MRI scans show a significant reduction in the temporal lobe tumor, and we're hopeful for a positive outcome.

    June MRI shows the midline shift is back to normal! This is such a significant milestone in Danielles treatment and life style change. It just goes to show you, with true belief, maybe even stubborness on dani,s part 🙂, Proper treatment and support you can achieve anything!

    The tumor has also reduced again and we are looking forward to seeing an even better result in the next MRI.

    To view her previous MRI scans and see the incredible transformation please see Danielles Fight for life FB page- link below

    https://tinyurl.com/yuanvjyw

    However, Danielle still requires treatments every 3 weeks, which cost approximately $2,500 each time. 💸 We've had a standstill in donations recently, and we need your help to keep her treatment going.

    Every donation, big or small, brings us closer to ensuring Danielle receives the care she needs. Your support means the world to Danielle and to us. 🌈

    Please consider donating today to help Danielle continue her fight for life. 💕 Every bit counts, and together, we can make a difference! 🌈"

      0 comments  |  Login to leave a comment
  • "Astounding News! 🎉

      29 June 2025
    Main image

    Danielle's latest MRI results are in, and they're beyond Amazing! 🙌 The swelling and tumor have reduced significantly, and her midline shift is now completely back to normal. 😊

    Her radiologist, Anthony, was blown away by her progress, saying he's never seen someone as sick as Danielle, respond so well to treatment. He believes the tumor is now stable and is showing no signs of growth.

    We're optimistic it will continue to shrink while Danielle is on her treatment plan! 🌟 Also the 4th ventricle "tumor" is unchanged which could possibly mean its not cancerous.

    Richard from Canopy also expressed his delight with the results and even mentioned that Danielle could almost be considered to be in remission. 🙏

    This incredible progress is a testament to Danielle's dedication to her treatment plan, including her keto diet from "Tysons Kitchen", all the various supplements, the medical grade THC/CBD oil, combined with the Avastin and chemo treatment @ Canopy.

    We're over the moon with these results, but we still need your support. 🙏 We're counting on your donations to help cover the ongoing costs of Danielle's treatments every 3 weeks.

    Stay tuned for a before-and-after photo of the scans – the difference is remarkable! 🌈"

    Thank you so very much for being part of Danielle's journey, we are so grateful to have this opportunity. She may only be a small part of your world but you are 100% of hers.

    Please consider donating and/or sharing Danielle's Fight for life! 🙏🙏🙏

      0 comments  |  Login to leave a comment
  • TOMORROW'S MRI DAY!🎗️💪

      4 June 2025
    Main image

    As we wait for the results, I want to share a special song I wrote for Danielle. It's a reflection of her courage and determination in the face of adversity. 🎶

    Click the link below to listen.

    https://songer.co/song/bw4ozqfmvid9jt64asl3juk3

    Danielle's journey is a testament to her unwavering spirit. She's a warrior, fighting with every fiber of her being. 💪 Let's surround her with love, positivity, and support as she faces this next step.

    Please keep Danielle in your thoughts and prayers. Your kindness and generosity have made a significant difference in her life. 🙏

    #DanielleStrong #SupportDanielle #CancerWarrior"

      0 comments  |  Login to leave a comment
  • Update on Danielle's Journey

      28 May 2025
    Main image

    We're extending our fundraising deadline by a month or so to give us more time to reach our goal of $35,000. Despite great progress, we desparately still need more support! Danielle's latest Avastin treatment went well, with minimal issues inserting the IV injection.

    Avastin is crucial in restricting the tumor's growth by blocking its blood supply. It's a lifeline for Danielle, and we must continue her treatment plan to give her the chance of a lifetime.

    She's managing the side effects of her cemo as best she can, not to mention the continual blood tests and needles with her unwavering strength and commitment to her Fight for Life.

    We've raised $8,600 so far, but we still need help to keep going. Every donation counts! Danielle's dedication to her Keto diet, supplements, and walks are an inspiration for everyone.

    The upcoming MRI in June will show us the progress we're making. Let's keep pushing forward together!

    Please consider donating or sharing Danielle's page: https://tinyurl.com/yuanvjyw

    She may only be a small part of your world but you are 100% of her World.

    Your help means everything to us.

    #DanielleStrong #Fundraising #SupportDanielle"

      0 comments  |  Login to leave a comment
  • Happy Mothers Day!

      11 May 2025
    Main image

    Happy Mother's Day to all the amazing Mums out there! Today, I'm reminded of the strength and resilience of my incredible daughter, Danielle. I'm so proud of her courage and determination.

    We are so blessed to have her with us today and with the hope of many more on the horizon! We could not have done this without your support!

    She's had another 2 cycles of Avastin treatment and Chemo since our last update, and despite some tough side effects she's been working hard to get through it all. Richard increased her Chemo dosage the previous cycle but has reduced it back this cycle so hopefully the side effects will dissapear soon.

    Danielle,s diplopia is stable, she deals with it as best she can, even when she is working on her Cosplay Articuna project or going for her morning walk!

    Let's celebrate her progress & show our appreciation for having the gift of time with her.

    Your love, shares, and donations fuel her fight – every bit counts!

    If you'd like to help support Danielle, please consider donating or sharing her story with others, it would mean the world to us! We're so grateful for your kindness and generosity."

      0 comments  |  Login to leave a comment
  • MRI Results: A Turning Point in Danielle's Fight!

      26 March 2025
    Main image

    Today, Danielle and her family met with Dr. Richard Sullivan to review her MRI results and progress.

    We're so excited to share the outstanding news with you!

    Dr. Sullivan was very impressed with Danielle's MRI results, describing them as "A pretty impressive scan" and "Almost as good as it gets!"

    He mentioned that only about 20 of his patients have achieved such remarkable results.

    In a short period, Danielle's tumor has SHRUNK significantly! The swelling has reduced dramatically, Edema has improved considerably, and the midline shift is back to normal.

    This is a testament to the effectiveness of her treatment and her lifestyle changes.

    Initially, the hospital suspected a 4th ventricle Tumor Xmas 2023, & was thought to be causing the swelling and midline shift Xmas 2024.

    However, there's now a question mark beside this diagnosis, and it's "presumed" to be a tumor, but not definitively confirmed. The treatment so far, hasn't changed it much, which leads to question, whether it is actually cancer or not.

    Danielle's blood tests show that her body is tolerating the temozolomide well, so Dr. Sullivan suggests slightly increasing the dose to optimize its effectiveness,

    although this is not a must, but something to consider.

    We believe Danielle's courage, resilience, and determination have played a significant role in her remarkable progress. She truely is: Courage, Inspiration, Resilience and Strength all wrapped up in one!

    Go Girl-You Rock! We are all so proud of you!

      0 comments  |  Login to leave a comment
  • Update: 4th Cycle Treatment at Canopy Care (21.03.25)

      23 March 2025
    Main image

    Danielle completed her 4th cycle of Avastin treatment last Friday. However, the lead-up to treatment didn't go so smoothly :-(

    On Thursday, Danielle had her MRI, but unfortunately, the contrast administration didn't go as planned. The IV failed, causing infiltration (accidental leakage of contrast into surrounding tissue), which led to significant swelling and pain in her arm.

    Despite this setback, the Canopy treatment team persevered on Friday, but Danielle had to endure multiple painful cannula insertions before they were successful. Once the cannula was in place, the treatment went smoothly, but Danielle was understandably exhausted afterwards.

    We're now eagerly awaiting the MRI results, which we hope to receive by Tuesday next week when we meet with Richard at Canopy Care. We'll keep you updated!

    Thank you for your continued support and well wishes for Danielle.

    Also Join us on Instagram for updates, inspiration, and more!

    https://tinyurl.com/2ebt4v5d

      0 comments  |  Login to leave a comment
  • Happy Birthday Danielle, Today's Miracle!

      17 March 2025
    Main image

    "Happy Birthday to our amazing girl Danielle!

    Today, we celebrate a truly remarkable young lady who has defied the odds and continues to inspire us all!

    Just a few months ago, doctors told us that, Danielle wouldn't be well enough to celebrate her birthday, and Easter seemed like an impossible milestone.

    Well she's proving the doctors wrongs already! Danielle is a fighter, and with the help of her private medical team, her family and your generous support, she is defying the odds!

    Please consider making a donation, on Danielles Birthday and share this update with your friends and family.

    And to make this birthday more special, we would like to offer TODAY ONLY:

    A FREE DESIGNER T-SHIRT OR SINGLET WITH EVERY DONATION!

    Donate $20-$49: Receive 1 FREE T-shirt or Singlet

    Donate $50-$89: Receive 2 FREE T-shirts or Singlets

    Donate $90+: Receive 3 FREE T-shirts or Singlets

    Choose from our exclusive designs(see link-pics in comments),and show your support for Danielle's journey

    https://tinyurl.com/yuanvjyw

    Your donations have helped fund Danielle's private cancer treatment, giving her a chance to live life to the fullest.

    Currently, she is enjoying a special birthday visit with her godmother in Greymouth, and will be going Gold Panning!

    How awesome is that! Hopefully I can post up some photos later in the day.

    Thank you so much for being part of Danielle's journey.

    Here's to many more birthdays our darling girl Danielle!

    #DanielleStrong #BirthdayGirl #CancerWarrior"

      0 comments  |  Login to leave a comment
  • Milestone Moment: Danielle's Back on Track!

      7 March 2025
    Main image

    Today i feel has marked a significant milestone in Danielle's journey! After months of battling her tumor recurrence and the difficulties bought with it, she laced up her shoes and hit the coastal walking track again - a routine she has embraced for years.

    This morning's walk was more than just a stroll; it symbolized hope, resilience, and determination!

    Danielle's passion for her morning walk helped her stay grounded and focused on her health. Though life's challenges forced her to pause for a while, she's now back on track!

    We're thrilled to share photos of what i would call "Danielle's triumph", including reunions with furry friends and familiar faces who were overjoyed to see her back walking again.

    Your love, support, and encouragement has been truely instrumental in Danielle's progress.

    Thank you so very much for being part of her journey!

    #DanielleStrong #MilestoneMoment #Gratitude

      0 comments  |  Login to leave a comment
  • 3rd Cycle Treatment at Canopy Care (28.02.25)

      3 March 2025
    Main image

    Danielle completed her 3rd Avastin cycle last Friday. Everything went smoothly, despite challenges with her fine veins. The nurse successfully administered the treatment on the 1st try.

    As Danielle has tolerated treatment well, the medical team can now administer the drug more quickly, reducing treatment time from over an hour to abt 40 minutes, so great progress Dani!

    Dani experienced tingling in her left leg, but has had no seizures. She still faces exhaustion, nausea and vision diplopia but her spirit remains strong, especially with the support from "Tyson's Keto Kitchen" keeping her on the right track!

    We've started a FB page which we will be posting on from time to time, "Danielle's Fight For Life." Please check it out, like and share to help support Dani.

    Thanks to your generosity, Dani covered her first two cycles ($15K). We still need help, so please keep sharing Danielle's story to support her ongoing treatment that's making a significant difference to her life!

    I've included a photo from her morning treatment, and a special bonus – we stumbled upon a "Herbie" lookalike in the car park, and Danielle's matching jacket made for a perfect photo opportunity, I will add that on the main page!

    Richard has requested an MRI for Danielle, scheduled for mid-March so we all will be eager to get the results.

    Thank you so very much for being part of Danielle's journey, we are so grateful to have this opportunity!

      0 comments  |  Login to leave a comment
  • "Update from Danielle's appointment with Dr. Richard Sullivan at Canopy Cancer Care:

      5 February 2025
    Main image

    We're thrilled to share that Dr. Sullivan is pleased with Danielle's progress after her first Avastin treatment! He believes the treatment is working and already showing positive results.

    Danielle had a seizure last Friday but Richard believes it was likely linked to stopping the Dexamethasone steroid abruptly. Thankfully, she hasn't had any further seizures. He also thinks it's best for Dani to stay off the steroid, and he's happy with her overall wellbeing.

    Richard is optimistic that an MRI would show reduced swelling and minimal brain tissue displacement.

    His plan is to schedule another MRI after Danielle's second Avastin treatment instead of waiting till her 3rd session, as hes keen to see the progress and assess the tumor's response to treatment . Her 2nd session is this Friday and an MRI would be approx 2 weeks after that I would imagine.

    Richard estimates Danielle's chance of treatment success to be over 60% due to her youth, activity level, and alertness, combined with the chemotherapy tablets :-)

    So Go Girl! You've got this!

    We're so very grateful for your ongoing support and encouragement. Thank you for being part of Danielle's journey!

      0 comments  |  Login to leave a comment
  • UPDATE: Danielle's treatment begins this Friday!

      16 January 2025
    Main image

    Time is of the essence. Her Grade 4 tumor is progressing rapidly, and without immediate treatment, her prognosis is Dire. Fortunately, her specialist has outlined a treatment plan.

    Danielle will receive Avastin every 3 weeks, alongside chemotherapy. I'll upload the treatment schedule and revised costs (which have doubled). Please note that payment is due at each cycle, so we still urgently need more donations to cover these expenses. Please keep sharing our page.

    Thank you so very much for your ongoing support!" We are so very grateful.

      0 comments  |  Login to leave a comment