Back to page

For Border Collie Jasper with the kindest heart but roughest start

  • There’s no cancer present… now what?

      8 November 2022

    The best news showing there is no cancer present in young and sweet Jasper! Yay! Now Diane waits for the full report and next steps, I hope we can get this little man back to full health!

      0 comments  |  Login to leave a comment
  • Jasper isn’t doing well

      5 November 2022
    Main image

    Poor Jasper is really battling with his health. With recent visits to the vet, it’s now suspected he may have lymphoma. For those of you who haven’t met Jasper, he is the sweetest dog you could ever meet, he has so much love to give, wants to be friends with all dogs and people. He honestly has the sweetest nature it’s hard to put into words how devastating this is for Jasper and Diane. He’s still so young, with such a big heart, he’s been through so much with his health and Diane has been doing everything in her power to keep him well. Diane has now spent over $30,000 in Jaspers vet fees, we will be making a new page, to support Diane however we can. Every little bit counts.

      0 comments  |  Login to leave a comment
  • 18.06.22 Jasper & Diane update

      18 June 2022
    Main image

    Jasper is feeling much better today, started playing with his rubber chicken again 🙄 and stealing toilet paper from my hand before it’s intended use 🤦🏻‍♀️😳🙄.

    We will do a repeated blood work up again in the near future to check liver and haematology levels, and possibly an ultrasound depending on results.

    I felt a bit shutdown yesterday as it felt like another blow in a continuous battle with his health.

    I want everyone to know that I so appreciate the continuous support we received from everyone, feels like we aren’t alone in this.

    Thank you everyone from myself and the loveable little ‘lemon’ Jasper.

      0 comments  |  Login to leave a comment
  • Jaspers health has deteriorated - thoughts and support needed!

      15 June 2022
    Main image

    Wee Jasper is back at the vets, currently staying in on a drip, an unwell pup, they don’t know what’s up yet, very high temperature, lethargic, not eating or drinking. He may need to be transferred to emergency services over night.

    Sending lots of love to wee Jasper and Diane, come on Jasper you’ve got this!!! ❤️❤️

      2 comments  |  Login to leave a comment
    • 15/06/2022 by Raewyn Somfan

      Sending you Prayers , and big Hugs Jasper. I hope you feel better soon.

    • 15/06/2022 by Mireille Sitters

      Lots of strength your way Jasper...... love u buddy

  • Jasper lost his best mate Smurf

      18 May 2022
    Main image

    Just a little update, Diane and Jasper sadly lost their best mate Smurf, their cat. A neighbourhood dog killed Smurf at 4am and Smurf crossed the rainbow bridge on the way to the vet :(

    Sending Jasper and Diane so much love in this traumatising event ❤️❤️

      1 comment  |  Login to leave a comment
    • 18/05/2022 by Gillian

      Omg you poor things. Made me cry. Sending hugs. Gx

  • Jasper update 17 May

      17 May 2022

    Jasper is doing quite well on his current medication, occasional mild relapses with nose issues.

    The next step is a consultation with the surgical team for more biopsies from about 3cm up his nose and to do tests with his hips to determine which surgery would suit best.

      1 comment  |  Login to leave a comment
    • 17/05/2022 by Gillian

      Dear Jasper I’ve been thinking about how you are going. Hope you are lapping up all the love you are getting. Gxx

  • Scan of Jaspers hips

      5 May 2022
    Main image

    Poor Japsers hips, hence why he struggles to keep up with his friends 😢😢

      1 comment  |  Login to leave a comment
    • 14/05/2022 by Gillian

      Just wondering how dear Jasper is doing. Gx

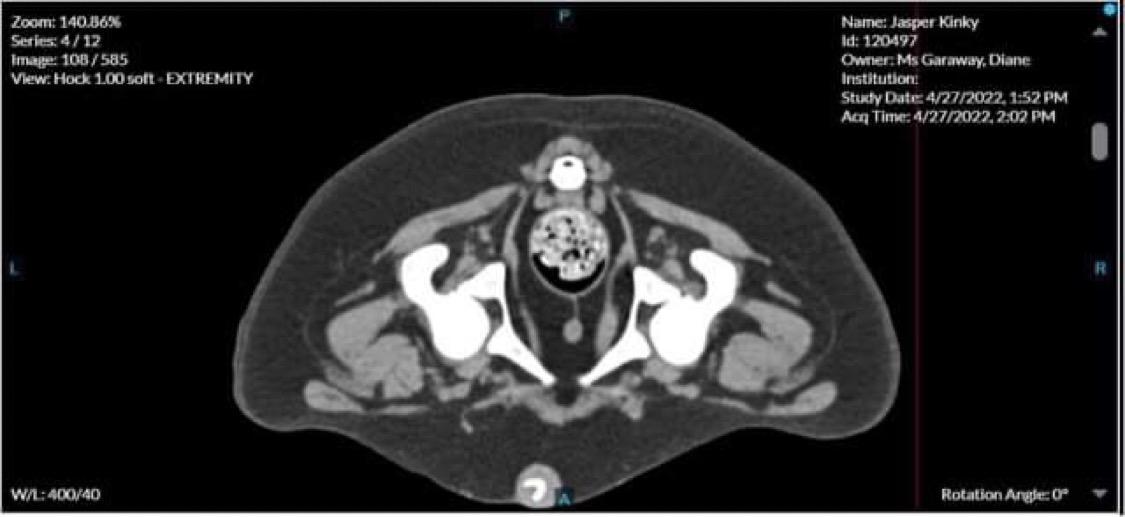
  • Jasper’s CT scan results - update from Diane

      3 May 2022
    Main image

    Jasper’s CT scans came back, the tiny bone structures in his nose are destroyed, probably due to inflammation, they need to do more biopsies to rule out anything else.

    His hips have quite bad dysplasia and will require surgery, possibly hip replacement.

    He will need to stay on the Apoquel for life for his nose.

    Hopefully the summary will be emailed at some stage, it was a bit overwhelming receiving the phone call from the specialist last night.

      0 comments  |  Login to leave a comment
  • Every little bit counts

      28 April 2022

    Hi everyone

    Just an update on Diane’s costs, at this time it has totalled $11,000 and continues to climb. I can see on Facebook Diane is trying to sell her belongings plus extending her credit card limits to cover the costs of care for Jasper.

    Every little bit counts ❤️‍🩹

      0 comments  |  Login to leave a comment
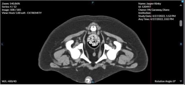
  • Jasper update

      27 April 2022
    Main image

    Little Jasper had his CT scan today! Which cost Diane $4500, thank you everyone for your generous donations to help cover this.

    Sadly this is only the beginning and he will be needed lots of treatment to repair his little body and be on the mend to recovery 💔❤️‍🩹

    Please keep Jasper in your thoughts, lots of warm thoughts and if you’re in a position to do so, any little contribution helps!

    You’ve got this little Jasper!

      0 comments  |  Login to leave a comment
  • Jasper border collie update

      13 April 2022

    Update from Diane:

    Jasper’s CT estimate came back as $4280, that is just for CT, contrast, $1200 for the anesthesiologist (that blew me away), $1200 for CT with $450 for contrast, the rest is consult fee, radiologist report fee, drugs, equipment etc, nurse and hospital day stay fees.

    I have asked for a referral to be sent to another clinic too for another estimate.

      0 comments  |  Login to leave a comment
  • See Diane’s update on young Jasper….

      7 April 2022

    Jasper had his specialist appointment today, I should hear back next week regarding the CT, I was told it will be more than previously estimated as they have had a price increase, should get the quote next week.

    So in the meantime Jasper has to come off the steroids, they are trying him on apoquel while reducing the prednisolone and still remaining on the inhaler.

    I have been billed nearly $6000 so far, with the CT probably being about an additional $4000.

    Seems Jasper’s condition is quite a medical mystery so far, it’s upsetting not having clear answers yet.

      1 comment  |  Login to leave a comment
    • 15/06/2022 by Gillian

      Sending all my love xx