+5 images
Main image

Support Lily's Journey to Getting Corrective Jaw Surgery

$735 of $14,580 goal
Given by 8 generous donors in around 4 months

Every dollar helps! We're helping support Lily with funding a very expensive corrective jaw surgery

Richmond, Tasman

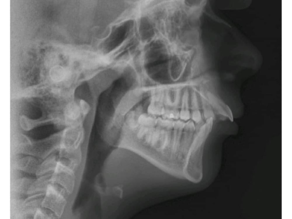
In August, Lily went to Wellington with her parents Aimee and Andrew for an orthognathic (corrective jaw) surgery consult.

The reason for her attending is she has a very significant overjet - a dental condition where the top front teeth protrude horizontally past the bottom front teeth. This causes her great discomfort and among other things affects her eating, with a sensation of her teeth feeling loose, especially triggered by hard foods - a very uncomfortable feeling! The overjet can also lead to further dental issues such as tooth wear, gum damage, difficulty chewing or speaking, and heightened risk of injury should she fall or otherwise hurt herself.

In Wellington, she had two wisdom teeth extracted, and on her return to Nelson she has since had braces fitted as the first step in her treatment.

In 10-12 months she will undergo what is called a bilateral sagittal split osteotomy (BSSO) for mandibular advancement, which involves the oral surgeon making cuts to Lily’s lower jawbone to reposition and stabilise it with plates and screws.

There is further likelihood she will need a genioplasty, a type of chin surgery to realign and reshape her chin after the BSSO procedure.

Lily has worked after school jobs since she was 16, and will put a good portion of her own money towards the procedure. We wanted to set this up to help share even a small part of the burden of cost for her and her parents.

Cindy Winter's involvement (page creator)

Lily is my beautiful niece, a beautiful soul who will help anybody. She is currently studying to be an ECE teacher, a role she is perfect for as she has a heart of gold and patience of a saint, always having a special nurturing bond with children

Use of funds

The quote for the surgery alone is $14,580.00. This doesn't include the initial consult, or the braces, which Lily and her family are funding themselves, or the travel/accommodation to Wellington. Not publicly funded as it is considered 'cosmetic'. All funds raised will go towards the surgery.

Read more

Latest donations

Cade and Macey
Cade and Macey on 24 Oct 2025
All the best
$250
Cindy Winter

Thank you so much for your generosity ❤️

Cindy Winter
Jen
Jen on 01 Oct 2025
😘
$10
Cindy Winter

Thanks so much Jen!

Cindy Winter
Uncle Dave
Uncle Dave on 02 Sep 2025
Hope it goes well Lily
$200
Cindy Winter

Thank you so much for your donation

Cindy Winter
Guest Donor
Guest Donor on 25 Aug 2025
$50
Cindy Winter

Thank you so much for your contribution

Cindy Winter
John B
John B on 25 Aug 2025
Wayne is a great maxillofacial surgeon. Funny but I was doing these procedures fifty years ago! Go Lily!
$100
Cindy Winter

Thank you thats so generous of you. Lily will be in great hands!

Cindy Winter

Who's involved?

Cindy Winter's avatar
Created by Cindy Winter
Lily Verry's avatar
Paying to a verified bank account of Lily Verry
Page Moderated
The page has been checked by our team to make sure it complies with our terms and conditions.

Help Fundraise

You can create your own page to help fundraise for this cause.

Gallery

Any concerns?

Report this page
This campaign started on 24 Aug 2025 and ends on 30 Apr 2026.