Back to page

Cancer treatment fundraiser for Lynne Kenny- fight for her life

  • Latest Update

      1 December 2022

    Sadly I have now been told all treatments have now stopped working and I only have a matter of weeks left I am devastated

    I am now asking for help for my kids with my funeral costs as unfortunately my funeral cover doesn’t kick in till May and they are not in a position to be able to pay for those costs and also some financial help for my dependant sons ongoing care

    Thank you for all your support on my journey 💜

      1 comment  |  Login to leave a comment
    • 01/12/2022 by Lorna

      Oh Lynn I am so so sorry 🙏🏼

  • Scan Update

      11 January 2022
    Main image

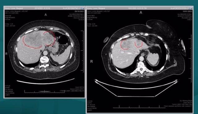
    Great news today with my scan results after 3 rounds of the unfunded drug Cetuximab there is significant shrinkage wahoo!! so I will definitely be carrying on with the treatment 😊

    Thanks to those who have donated and helped me have the treatments so far I really appreciate it so much 😊❤️

    It makes all the hard days with bad side effects well worth it

      0 comments  |  Login to leave a comment
  • Latest Update

      13 December 2021
    Main image

    I have had a scan since the last Update showing 3 of my liver tumours are stable but one unfortunately has had some growth My Oncologist said I needed to go onto the Unfunded drug Cetuximab in haste. I have now started the treatment in Tauranga fortnightly and with the cost of the treatment being $6290 each treatment plus Oncologist reviews at $253 fortnightly and the cost of travel I now need to extend my dates for my page to raise more funds for these costs and ongoing living costs I so appreciate each and everyone of you that have donated and shown your support for myself and my family I am truly so very grateful.

    To the exciting news my Precious Grand baby Waiata was born 6 weeks ago she is just adorable as she is in the South Island I haven't yet been able to have cuddles but have had lots of Video calls with them- cant wait to see her when they are able to fly up.Once again thank you so much for all your support.

      0 comments  |  Login to leave a comment
  • Goal update

      9 October 2021
    Posted by: Francine Jones

    Goal amount has been updated to include amount to help with day to day costs to support the family and costs of complimentary treatments.

      0 comments  |  Login to leave a comment
  • Thanks

      4 October 2021
    Posted by: Francine Jones

    Thanks so much to those who have donated I am so truly grateful to each and everyone of you as I move towards the goal of being able to get Cetuximab.

    My kids mean the world to me and I will do anything I can to be here with them and for them

    I truly appreciate you all 😊💜

      0 comments  |  Login to leave a comment