Desperate for a smile to be proud of

$103 of $3,500 goal
Given by 4 generous donors in around 6 months

Desperate for a smile to be proud of but without help, this may never happen.

Taranaki

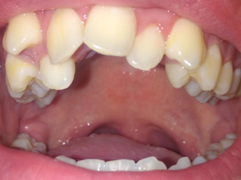
My son Dylan is a great kid, he has never been one to want for anything but as he has got older his teeth have become a problem for him in more ways than one and he now wants for what we often take for granted, the ability to smile.

He has a common condition which is called overcrowding where the mouth is unable to house all teeth which leads to them coming through where they choose.

As he has got older, this has lead to an inability to smile without being self consious of it, self esteem issues and trouble eating (at times).

Recently we took him to the dentist for a consultation as to what can be done and the only option is braces however, these come at a cost that we certainly not afford.

We have been advised that he needs braces for both top and bottom at a cost of aproximately $6500 for both or as a partial repair $3500 for bracing of the top only.

We are not generally a family to ask for help but in knowing how my son feels about himself and his problem, I too am desperate to see his full smile once again.

Derek Wyllie's involvement (page creator)

I am Dylans father, Dylan is desperate to have his teeth repaired but this is well beyond our budget.

Dylan is an easygoing kid who never wants for anything but this would be life changing for him and his whole self preservation.

Use of funds

The money will be dedicated soley to pay towards the necessary dental treatment if by some miracle, anything over and above the full dental cost is raised, this will be donated to both the SPCA and Salvation Army

Read more
Givealittle’s Generosity Report for FY2025
Givealittle’s Generosity Report for FY2025 has been released, and once again it offers a powerful snapshot of how New Zealanders show up for one another. Learn More

Latest donations

Guest Donor
Guest Donor on 31 Jul 2018
All the best, hope this helps.
$47.62
Guest Donor
Guest Donor on 29 May 2018
$5
Rob Wyatt
Rob Wyatt on 11 May 2018
:)
$40
Private Donor
Private Donor on 10 May 2018
A great cause, hope that the target is reached, good luck.
$10

Who's involved?

Derek  Wyllie's avatar
Created by Derek Wyllie, paying to a verified bank account of Derek Wyllie on behalf of Dylan Wyllie
Page Moderated
The page has been checked by our team to make sure it complies with our terms and conditions.

Any concerns?

Report this page
This campaign started on 10 May 2018 and ended on 10 Nov 2018.