Let's help Alysha fix her brain

$1,705 of $1,500 goal
Given by 41 generous donors in 5 weeks

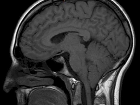
My little sister Alysha has Chiari Malformation and Syringomyelia. In simple terms, her brain is falling out of her head and she needs help!

Hawke's Bay

Alysha is booked in to have surgery in March to try and 'fix her brain'. Although this won't be a cure, it will hopefully help her function better day to day. Unfortunately because it is a rare, chronic condition, it would take her FOREVER to get surgery through the public system. She luckily has health insurance which is covering most of the cost but she has to find an additional $1300 plus any extras that she might need following the Surgery and travel costs back and forth to all of her appointments. We realise that everyone has a lot going on, especially at this time of year. However, if you happen to have a little to give to this cause, it would be so greatly appreciated by Alysha and the family.

Read more
Givealittle’s Generosity Report for FY2025
Givealittle’s Generosity Report for FY2025 has been released, and once again it offers a powerful snapshot of how New Zealanders show up for one another. Learn More

Latest donations

Kim
Kim on 17 Feb 2016
Private
Brenda, Eddy, Jamie & Rose
Brenda, Eddy, Jamie & Rose on 15 Feb 2016
Wishing you all the very best Alysha!
$50
Team symonds
Team symonds on 15 Feb 2016
$20
Guest Donor
Guest Donor on 15 Feb 2016
Private
Daniel Fraser Photography
Daniel Fraser Photography on 15 Feb 2016
Private

Who's involved?

Alysha Boyce's avatar
Paying to a verified bank account of Alysha Boyce
Page Moderated
The page has been checked by our team to make sure it complies with our terms and conditions.

Page Q&A

3 questions have been asked already. Check them out and ask yours here.

Any concerns?

Report this page
This campaign started on 26 Jan 2016 and ended on 4 Mar 2016.