Back to page

Give A Little Back For Greenie

  • 2 years on

      8 April 2023
    Posted by: Michelle Greene
    Main image

    This photo was taken on the 8th April 2021, two days post surgery, when our lives were turned upside down.

    As David continues his battle, we are eternally grateful for all our family and friends, who have been beside us as we faced the ups and downs. And for all the family, friends, friends of friends and even complete strangers who continue to support us.

    "There are many we meet who are just passing through,

    And then there are the few who stay to pull us through."

      0 comments  |  Login to leave a comment
  • 3 Monthly update

      24 January 2023
    Posted by: Michelle Greene
    Main image

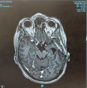
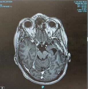
    David has recently had his 3 monthly MRI, and after a tense week if waiting, we got the results from the oncologist. After expecting the worst but continuing to hope for the best, we were stoked to hear that there had, in fact, been another small decrease in the size of the tumor.

    After throwing everything at David for the last 20 weeks, we are very happy to have continued with the positive outcome.

    So, for now, David is able to take a break from having Irinotecan, which is the chemo given in conjunction with Avastin. (Usually the day after the Avastin treatment.)

    And, the time between treatments is now being stretched out to 3 weeks.

    Again, we would like to express our heartfelt thanks and appreciation to all those who have supported and who continue to support us as we navigate the unknown times ahead.

    Ehara tāku toast I te toast takitahi,

    engaging he toast takitini

    My strength is not as an individual

    but as a collective.

      0 comments  |  Login to leave a comment
  • A message from Greenie

      6 November 2022
    Posted by: Michelle Greene
    Main image

    We are very overwhelmed and humbled by the donations given to support David's treatment.

    Before David started this treatment, we were told that, although Avastin was widely used overseas and had shown to have positive results,  it didn't work on all patients.

    After David's MRI on October, having had 2 of the initial 6 cycles, we were absolutely stunned to see such a change in the size of David's tumor.

    The images on the right side show the tumor (the white area) as it was in June 2022. The images on the left, show the tumor (the considerably smaller white area) in October 2022.

    We are beyond grateful and blown away by everyone who has donated.  We give our sincerest and heartfelt thanks to each and every one of you.

    No one is more cherished in this world than someone who lightens the burden of another.

    Thank you.  ❤

      1 comment  |  Login to leave a comment
    • 06/11/2022 by Gael

      Great news we will add another donation when we can so happy for you