NEW TEETH FOR STEPHEN

$195 donated
Given by 5 generous donors in around 6 months

Help Stephen to smile again.

Auckland

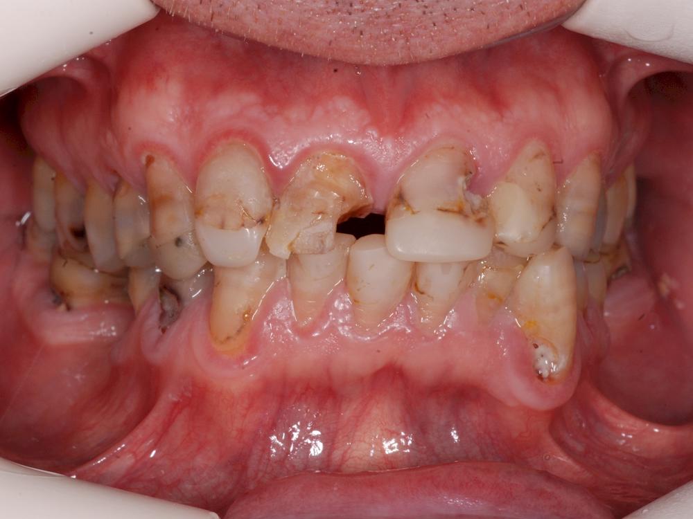
Stephens teeth are nearly beyond repair , we want to bring back his smile.When Stephen was young he had to have antibiotics, these we have been told by a specialist have helped caused his teeth to become crumbly.We want to send Stephen to have his teeth repaired for good,that means he will have to venture overseas to be able to keep the cost as low as possible.With your help by giving a little he can accomplish this and be proud of his smile again,and be able to enjoy those foods he likes to eat,thanks for your kindness and support to Stephen.

andrew murray's involvement (page creator)

I personally know Stephen and have watched his struggle become more and more ,with eating and also with just social interaction,at work,and personal growth.We all know what it is like to have a great smile and good strong teeth ,this is why I had the urge to try to help in his cause,and have opened this page in Give A Little.

Read more
Givealittle’s Generosity Report for FY2025
Givealittle’s Generosity Report for FY2025 has been released, and once again it offers a powerful snapshot of how New Zealanders show up for one another. Learn More

Latest donations

From us
From us on 24 Jan 2017
Good luck, i hope a dental school can help you with this for a much smaller cost than any private dentist.
$25
andrew murray

Thanks for your kindness ,we hope all goes well,happy new year.

andrew murray
blessings from the tooth furry
blessings from the tooth furry on 08 Aug 2016
gd luck bruv
$10
Guest Donor
Guest Donor on 25 Jul 2016
$20
Robyn
Robyn on 24 Jul 2016
Good luck for the teeth, A smile is for life.
$20
Brother Wayne
Brother Wayne on 24 Jul 2016
Good luck Stevo, look forward to seeing your new chompers.
$100

Who's involved?

Stephen Marr's avatar
Paying to a verified bank account of Stephen Marr
Page Moderated
The page has been checked by our team to make sure it complies with our terms and conditions.

Any concerns?

Report this page
This campaign started on 24 Jul 2016 and ended on 24 Jan 2017.