Back to page

It’s kick off time: Alice v Adenocarcinoma AKA lung cancer

  • Support extended to Alice

      6 September 2022

    The page timeframe is extending to support Alice into the last part of 2022 and with the events she has planned for Lung Cancer Awareness Week. A new update coming soon. Keen an eye out.

      0 comments  |  Login to leave a comment
  • Wolves on the run!

      6 September 2022
    Main image

    Hi everyone, I just thought I'd send through a quick update to let everyone know how I'm getting on.

    People often ask me how I am since my cancer diagnosis 1 year ago, and I still haven't figured out an easy way to answer this. The easiest answer is "I'm doing ok", which is definitely true, I am. I'm exercising most days and still playing some football. I need less naps (but sometimes still have them because I love a nap!) and I'm working from home which allows me to be home when the kids get home from school, and also have regular dog/cat petting breaks. I can travel - the girls and I just got back from an amazing six weeks in the UK making memories with our family and friends...and seeing the England football team win the EUROs!

    Most importantly, the targetted chemotherapy treatment I'm on is working to keep the cancer at bay ..."for now". Those two words are the rest of the answer that I often leave out, but in reality I still have advanced lung cancer and it remains incurable. We know that at some point the sneaky cancer cells will mutate and I'll need to go onto another targetted chemotherapy treatment. I'm hoping that I have really dumb cancer cells and it takes a while for this to happen! I have CT scans every twelve weeks and I'm learning how to manage the scanxiety of not knowing the outcome every.single.time.

    At this stage, as you may remember from the original fundraiser info, the treatment I would go onto next isn't funded by Pharmac here in NZ, which is why I continue to fundraise and why I'm so grateful for all of your generous donations and support.

    I have just added a new event to my Givealittle fundraiser, you can find out more about it here, https://givealittle.co.nz/event/wolvesontherun or just go to Givealittle and search 'wolvesontherun'.

    So...off I go to nap, run with wolves, stroke animals, and meet the kids from school (those are the best parts of my day at least!). I try to intentionally live well with cancer and enjoy every moment with the beautiful family and friends I'm so lucky to have around me.

    Thank you for taking a look at the new fundraiser event. There are more on the horizon too as I also support Lung Cancer Awareness Month in November.

      0 comments  |  Login to leave a comment
  • It's a goooooaaaaaal!

      15 November 2021
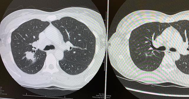
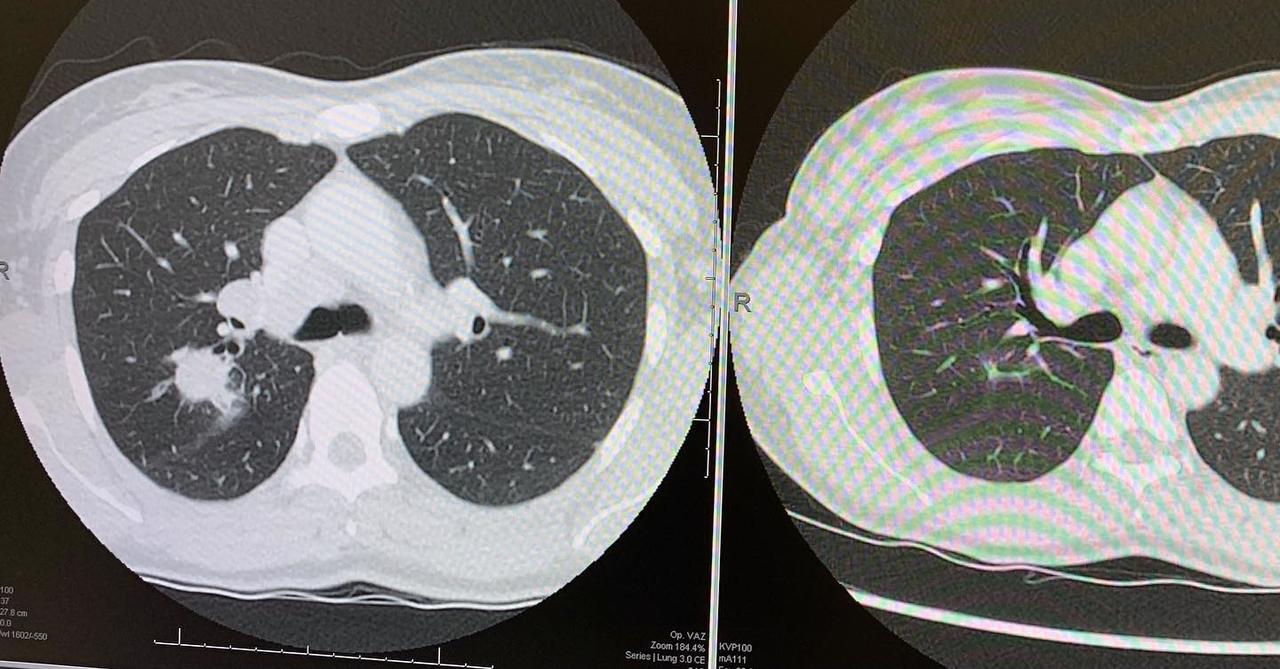
    Main image

    Hi there,

    I wanted to check in with you all to again say thank you and also to share that my treatment is working 🙌🏼. You can see on the image the CT scan before (left) and after 8 weeks of chemotherapy treatment 💥. The lymph nodes in my neck and my chest are all massively reduced too💥💥

    Despite this, I can still hear the voice asking “how long will this last?” ...but for now it is quiet, and being drowned out by the celebrations 🎉❤️.

    Thank you for your ongoing support, I really appreciate knowing you are all out there cheering for me too.

    Arohanui,

    Alice

      0 comments  |  Login to leave a comment
  • An update from Alice

      24 October 2021

    Kia Ora,

    I just wanted to say a MASSIVE THANK YOU for all your generous donations to this give a little page and for all the wonderful messages of support. It all means so much to us during this time xx

    So far, I'm tolerating my treatment well with only minor side effects. Our next big step is my repeat scans at the beginning of November - this is a biggy as it will tell us if the treatment is working 🤞🤞

    I'm keeping myself active and I'm still managing to have a bit of a kick around with my football team. I've learned that I'm not very good at pacing (despite teaching it for many years with my patients) but I'm definitely getting better at it. Small steps.....

    Mentally and emotionally I'm doing well overall but there are obviously ups and downs which I'm just letting myself ride. We let the kids miss the last few days of school last term and took them up the mountain for some much needed time away from hospitals and appointments. They think I'm way cooler now that I have cancer because I say yes to more things like missing school to ski!!

    Arohanui,

    Alice

      0 comments  |  Login to leave a comment