Please help my 4 month old kitten whom may have been purposely hurt :(

$350 donated
Given by 4 generous donors in 7 days

My kitten needs surgery and I’m willing to work for the funds I don’t want to loose this cat :(

Manawatu / Whanganui

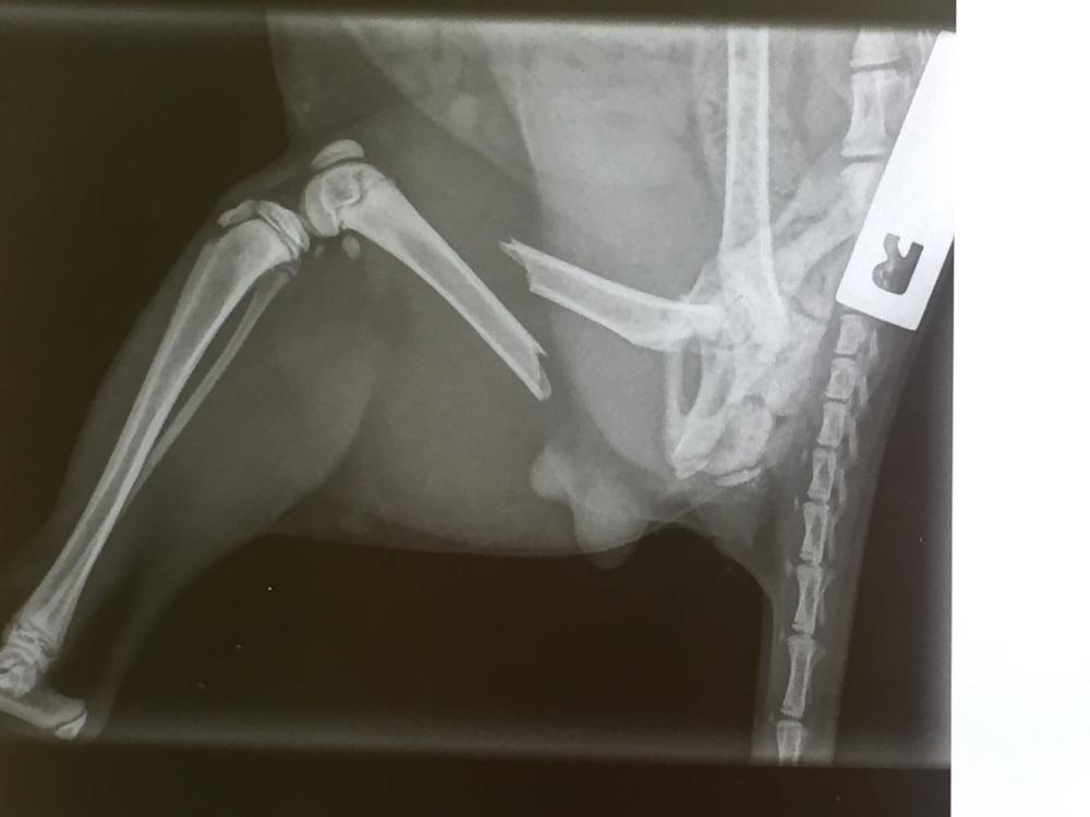
I’m needing help with vet bills for my 4 month old kitten Maui. It’s looking like someone has kicked him :(

He needs surgery and fast on his leg or he will be put down. I’m trying everything I possibly can to avoid getting him put down as his sister is here and they are so close to each other. I lost my 14 year old cat a year ago, my 5yr old cat not long after and I don’t want to loose this boy, I have a 3year old daughter that is gutted.

Any support will do or if you have a job I could do for some cash I would be grateful I really want this surgery to go ahead and I’ll do anything to make it happen

Use of funds

Vet bills

Read more
2% Effective Fee
On average, fundraisers pay just 2% to use Givealittle. This is one of the lowest effective fees in New Zealand fundraising. We charge a 5% platform fee to cover the cost of running the platform. Because most donors choose to top up their donation to cover this fee, the effective cost paid by fundraisers is about 2%. That means around 98 cents of every dollar raised goes to the cause. Learn More

Latest donations

Guest Donor
Guest Donor on 26 Dec 2018
$200
Guest Donor
Guest Donor on 26 Dec 2018
Private
Adam Buck
Adam Buck on 24 Dec 2018
$100
Deborah
Deborah on 23 Dec 2018
Private

Who's involved?

Karen Buck's avatar
Created by, and paying to a verified bank account of, Karen Buck
Page Moderated
The page has been checked by our team to make sure it complies with our terms and conditions.

Any concerns?

Report this page
This campaign started on 23 Dec 2018 and ended on 31 Dec 2018.