Mātai Medical Research Institute

Mātai Medical Research Institute

World-class medical imaging research to advance our understanding of the brain, heart and body.

Nationwide

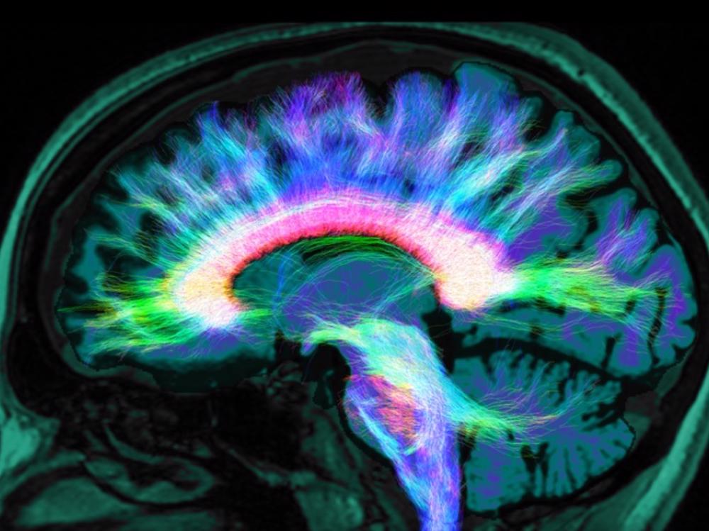
Mātai is a non-profit medical imaging research centre based in Tairāwhiti, with national and international collaborations. The research undertaken at Mātai will focus on improving the diagnosis and treatment of concussion, methamphetamine, cardiovascular disease, and prostate cancer, alongside other issues that impact health and well-being. Mātai will also conduct a unique child well-being study and support an intergenerational trauma study.

Join us on our journey of discovery - your support will help deliver health benefits regionally and globally.

MRI is unsurpassed in its capabilities to transform our understanding of health. It is safe, non-invasive, and can reduce the need for unnecessary invasive surgeries. Advances in medical imaging, which include scan clarity and shortening scan time, have the potential to redefine the way we identify disease and disorders, enable earlier interventions and treatments, and find new ways of managing health disorders.

“Nā tō rourou, nā taku rourou, ka ora ai te iwi” With your contribution and my contribution, the community prospers.

Read more
2% Effective Fee
On average, fundraisers pay just 2% to use Givealittle. This is one of the lowest effective fees in New Zealand fundraising. We charge a 5% platform fee to cover the cost of running the platform. Because most donors choose to top up their donation to cover this fee, the effective cost paid by fundraisers is about 2%. That means around 98 cents of every dollar raised goes to the cause. Learn More

Who's involved?

Mātai Medical Research Institute's avatar
Created by, and paying to a verified bank account of, Mātai Medical Research Institute (Charity)
Registered Charity
A Registered Charity has legal recognition under the Charities Act 2005.
Tax credit
Donations of over $5 are eligible for a New Zealand charitable giving tax credit.
Page Moderated
The page has been checked by our team to make sure it complies with our terms and conditions.

Fundraisers supporting us

You can create your own fundraising page that pays directly to Mātai Medical Research Institute.
Help Fundraise

Any concerns?

Report this page